If your teeth are damaged, worn down, or weakened, it can significantly affect your self-confidence and overall dental health. Dental crowns offer an effective solution to restore both the appearance and functionality of your teeth.
At Lincolnwood Family Dental, we specialize in providing high-quality, custom-made dental crowns tailored for you. If you have a cracked tooth, wear and tear, or need post-root canal restoration, our team is here to provide expert care in a comfortable and welcoming environment.
If you’re looking for reliable dental care, our clinic is easily reachable. To schedule your appointment, call us at (847) 610–9272, email info@lincolnwoodfamilydental.com, or use our online booking system to get started.
Schedule Appointment Today
What is Dental Crown?
Dental crowns are a highly effective restorative treatment for various dental concerns. A dental crown is a custom-designed, tooth-shaped cap that covers the visible portion of your tooth, offering protection and restoring its strength and appearance. Crowns are often used to address issues such as broken teeth, teeth with large fillings, or teeth that have undergone root canal therapy.
What Are Dental Crowns Made Of?
Dental crowns are crafted from materials suited to specific dental needs. These include:
- Zirconia
- Ceramic
- Porcelain
- Gold
- Stainless Steel
The choice of material depends on the tooth’s location, durability requirements, and aesthetic considerations. Our Crown dentists ensure a precise fit and carefully reshape your tooth to accommodate the crown, restoring both its functionality and appearance.
Types of Dental Crown and Cost
At Lincolnwood Family Dental, we offer several crown types, each tailored to different needs:
Ceramic Crowns
Ceramic crowns are a great option when you need a natural appearance. These crowns are particularly suitable for front teeth, as they blend seamlessly with surrounding dentition. They are also ideal for those with metal allergies. The cost of ceramic crowns ranges from $1,150 to $1,375.
Porcelain-Fused-to-Metal (PFM) Crowns
Porcelain-fused-to-metal crowns combine a robust metal core with a porcelain overlay, creating a natural appearance while maintaining structural strength. These crowns are versatile and suitable for both front and back teeth but require more extensive tooth trimming to accommodate the material. At Lincolnwood Family Dental, we prioritize minimally invasive approaches and, therefore, do not offer PFM crowns.
Zirconia Crowns
Zirconia crowns are made from a strong ceramic material resistant to wear. They are suitable for both anterior and posterior teeth, offering durability and a visually appealing option. A zirconia crown costs approximately $950.
Gold and Metal Crowns
Gold and metal crowns are known for their exceptional durability and ability to withstand heavy biting forces, making them ideal for back teeth. However, their metallic appearance often limits their use to less visible areas of the mouth.
Stainless Steel Crowns
Used primarily in pediatric dentistry, stainless steel crowns are a temporary solution for protecting decayed or damaged baby teeth. These cost-effective crowns naturally fall out when primary teeth are replaced by permanent ones.
Temporary Crowns
Temporary dental crowns serve as short-term solutions while awaiting permanent crown placement. Fabricated from materials like acrylic, they provide temporary protection and functionality.
Potential Disadvantages of Dental Crowns
While dental crowns are a restorative option, it’s important to be aware of potential drawbacks:
- They can be expensive, especially without insurance coverage.
- Tooth sensitivity may occur after the procedure.
- Crowns can occasionally chip, crack, or fracture over time.
- The process involves removing some tooth enamel.
- Poorly fitted crowns can trap bacteria, leading to potential issues.
- In rare cases, allergic reactions to the materials may occur.
Procedure of Dental Crown
What to Expect from Our Crown Dentist – Lincolnwood Family Dental
At Lincolnwood Family Dental, we follow a two-appointment process to ensure your dental crown fits perfectly.
First Appointment: Preparation and Impressions
Examination
Your dentist will assess your tooth to determine if a crown is the best solution, considering factors like decay or damage.
Numbing
We administer local anesthesia to numb the affected tooth and surrounding area, ensuring your comfort.
Tooth Preparation
The tooth is shaped by carefully removing its outer layer, including any damaged areas, to create adequate space for the crown.
Impression
Using advanced 3D scanning technology, we capture an accurate digital mold of your tooth and adjacent teeth. This impression is sent to our dental lab to craft your custom crown.
Temporary Crown
While your permanent crown is being fabricated, we place a temporary crown to protect your tooth and maintain its functionality.
Second Appointment: Crown Placement
During the second visit, our team replaces the temporary crown with your permanent dental crown, ensuring the tooth is properly prepared for the final placement.
Temporary Crown Removal
We begin by gently removing the temporary crown, ensuring the new crown fits comfortably and securely. This step provides lasting protection and restores the tooth’s natural function.
Fitting the Permanent Crown
Our dentist carefully checks the permanent crown’s alignment, ensuring it contours perfectly to your tooth and matches the natural color of your surrounding teeth.
Cementing the Crown
We secure the crown using a specialized dental adhesive, designed to provide a strong and lasting bond, ensuring the crown stays securely in place.
Bite Adjustment
After the crown is secured, we check and adjust your bite to ensure comfort and effective functionality with your other teeth. This step allows you to speak, chew, and smile without discomfort or issues.
Polishing
Finally, the crown is polished for a smooth finish, giving it a natural appearance that seamlessly integrates with your smile.
What’s the Difference between Dental Implant vs Crown?

The difference between a dental implant and a crown lies in their function and application. A dental crown restores and protects weakened or damaged teeth, fitting over the natural tooth structure and preserving its base.
In contrast, a dental implant replaces an entire tooth, including the root, anchoring into the jawbone with a titanium post. Crowns are ideal when the existing tooth is healthy enough to provide structural support. However, implants are recommended for patients with sufficient bone density and good gum health to support the implant.
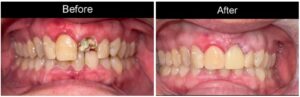
Dental Crowns Before and After Images: See the Difference!
Dental crowns can significantly enhance your smile by restoring damaged or worn teeth to their original appearance and function. Check out our before-and-after images to see how our patients achieved stunning results.
Why Choose Lincolnwood Family Dental for Your Dental Crown Needs?
If you’re looking for an affordable Crown Dentist, we’ve got you covered, but before that, you must know why you should come to us.
- We use high-quality materials to ensure long-lasting results
- Our team is committed to providing a friendly, pain-free experience.
- Flexible payment options make our crowns accessible to all budgets with no hidden fees.
- Schedule a free consultation with your Lincolnwood dentist for personalized guidance.
So, book your free consultation now to bring out your best smile.
How Can You Reach Lincolnwood Family Dental?
Lincolnwood Family Dental is a trusted dental solution for dental crowns near you, and you can easily find it in Lincolnwood and Skokie.
By Car: Our office is near Touhy Avenue and accessible from Lincolnwood, Skokie, and surrounding areas. It’s right off Touhy and Lincoln Avenue, in David’s Square (Old Starbucks), with plenty of parking.
Walking: We are within walking distance of bus stops along Touhy and Lincoln Avenue and close to Lincolnwood Town Center.
Dr. Sana Baig is Here!
At Lincolnwood Family Dental, Dr. Sana Baig and her dedicated team are committed to delivering exceptional dental care. Using cutting-edge technology, we collaborate to develop personalized treatment plans that address individual dental needs.
Dr. Baig graduated Magna Cum Laude from Boston University with a Doctor of Dental Medicine (DMD) degree. After gaining extensive experience practicing in Boston and Chicago, she established her state-of-the-art dental clinic in Lincolnwood, IL. As a dental crown specialist, Dr. Baig and our team of experts are the trusted answer to searches for “tooth crown near me.”
What Sets Dr. Baig and Team Apart?
- Renowned for compassionate care and attention to detail.
- Offers transparent pricing with no hidden fees.
- Provides clear explanations of all available treatment options, empowering patients to make informed decisions.
- Ensures a seamless and stress-free experience for every dental crown procedure.
Whether you need routine care or an emergency crown dentist nearby, Lincolnwood Family Dental is the top choice for expert dental crown solutions.
Frequently Asked Questions
How much do dental crowns cost?
Dental crown prices range from $950 to $1,350, influenced by material choice and procedural complexity. Prices depend on crown material and additional treatments (e.g., root canals or gum procedures). Insurance coverage may reduce the cost based on your specific plan.
What happens if I need to remove a crown?
If a crown becomes damaged or requires replacement, the dentist uses specialized tools to carefully loosen and remove it, preserving the tooth underneath.
How long does a dental crown last?
With proper care, a dental crown can last 10+ years. Longevity depends on the material, oral hygiene, and daily habits.
What should I do if my dental crown falls out?
Contact us immediately to reattach or replace the crown, restoring your tooth’s function and appearance.
What should I do if I have a broken or cracked crown?
Contact us to assess the damage. We will recommend the best solution to restore your smile.
Can a Lincolnwood dentist remove a permanent crown?
Yes, our expert dentists can safely remove permanent crowns using specialized tools.
Dental crown vs filling—what’s better?
Crowns are ideal for large cavities or severely damaged teeth. Fillings are better for minor issues.
How can we provide affordable crowns and insurance coverage?
At Lincolnwood Family Dental, we offer high-quality crowns for all budgets.
- With insurance: Depending on your plan, pay as little as 50% of the cost.
- Without insurance: Expect costs between $950 and $1,350, based on material and procedure complexity.
Dental cap vs crown: Are there differences?
Dental caps and crowns are identical. Both restore the shape, size, and strength of a damaged or weak tooth.
Can I get a dental crown on a front tooth?
Yes. Porcelain or ceramic crowns are excellent choices for front teeth due to their natural appearance.
What happens if I break a dental crown?
Contact us immediately. We’ll assess the damage and recommend repair or replacement.
Does getting a dental crown hurt?
The procedure is painless as the area is numbed. Mild pressure or discomfort during preparation is normal but not painful.
Will I feel pain after dental crown placement?
Mild sensitivity or discomfort may occur for a few days. Persistent pain or fit issues should be addressed promptly.
Get Started Today!
Book your free consultation now. With affordable pricing, expert care, and advanced techniques, Lincolnwood Family Dental is here to meet all dental crown needs.







