A Patient’s Complete Guide
Have you avoided smiling in pictures due to missing teeth? Or perhaps your dentures clack when you chew or speak, humiliating you at the most inconvenient times???
Dental Implants could be the life-changing solution you’ve been looking for. More than just a cosmetic fix, the benefits of dental implants go far beyond a pretty smile — they restore your bite strength, protect your jawbone, and can last for decades with proper care.
Dental Implants may be the game-changing solution you’ve been searching for. Beyond a mere cosmetic correction, the benefits of dental implants extend well beyond a good-looking smile they rebuild your bite power, shield your jawbone, and can endure decades with the right maintenance.
In this article, we’ll walk you through everything patients need to know, including:
- What are dental implants?
- What are full mouth dental implants?
- How long do dental implants last?
- Benefits of dental implants.
- Before and after implants teeth transformations
- Pros and cons of dental implants
Now, let’s go in..
What Are Dental Implants?

Dental implants are tiny titanium rods that are surgically placed into the jawbone to serve as artificial tooth roots. After healing, they hold crowns, bridges, or complete sets of replacement teeth. Unlike dentures, which sit on the gums, implants are anchored into the bone, providing unparalleled stability and comfort.
What Are Full Mouth Dental Implants?

There is a permanent solution for people who have lost most or all of their teeth. Rather than replacing each tooth separately, your dentist will install 4 to 6 implants in each jaw, which hold in place an entire arch of fixed prosthetic teeth.
Key Benefits:
- Fixed (non-removable) and feel like natural teeth
- No need for denture adhesives or daily removal
- Prevent bone loss and facial sagging
- Long-lasting and durable solution
How Long Do Dental Implants Really Last?
One of the most popular questions patients ask is: “How long do dental implants last?”
The short answer: They can last a lifetime, if properly taken care of.
Dental implants are constructed from biocompatible titanium and become anchored into your jawbone through osseointegration. This integration makes them extremely stable. The majority of implants last 20+ years, and numerous patients never have to replace them.
To promote longevity, it’s necessary to:
- Brush twice a day and floss once daily
- See your dentist regularly
- Stay away from smoking and excessive alcohol use

Here’s the comparison with other dental alternatives:
Tooth Replacement Option | Average Lifespan |
Dental Implants | 20+ years (often lifelong) |
Bridges | 5–15 years |
Dentures | 5-10 years |
Benefits of Dental Implants

Permanent and Secure
Dental implants are anchored in place, so there’s no slipping or clicking as with removable dentures. You can eat, speak, and smile with complete confidence.
Natural Look and Feel
Implants are designed to look and feel like natural teeth. They’re handcrafted to match your face and bite.
Restores Chewing Ability
You can enjoy steak, crunchy veggies, or chewy foods without restraint. 80-100% of your original bite is restored in most patients.
Prevents Bone Loss
Unlike dentures that rest against the gums, implants press against the jawbone. This keeps the bones from shrinking, the face from sagging, and the advancement of premature aging.
No Damage to Other Teeth
Bridges can mean grinding down adjacent teeth. Implants are independent, preserving your existing natural teeth and keeping them healthy and whole.
Easy to Care For
Brush and floss as you would with natural teeth and no special creams or soaking at night required.
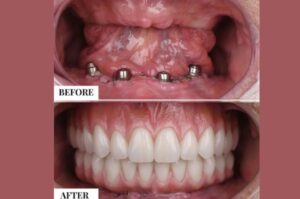
Before and After Implants Teeth: What to Expect
The difference in your smile and facial profile before and after implants teeth is amazing. Here’s what you can expect:

Patients often comment that receiving implants is like reversing the clock on their smile.
Full Mouth Dental Implants vs. Dentures
Let’s compare full mouth dental implants with traditional full dentures:
FEATURE | FULL MOUTH IMPLANTS | TRADITIONAL DENTURES |
Stability | Fixed and secure | Can slip or Move |
Comfort | Feels like natural teeth | May cause gum irritation |
Longevity | 20+ years (usually lifetime) | 5-10 years max |
Jaw bone preservation | Yes | No |
Maintenance | Brush/Floss normally | Requires removal and soaking |
Cost-Initial | Higher | Lower |
Cost-Long term | Cost-effective | Replacement add up |
While implants might cost more initially, their long-term value makes them a smart investment.
Pros and Cons of Dental Implants
As with any medical intervention, implants do have both benefits and concerns. Here is a brief glance at the pros and cons of dental implants:
Yet for most patients, the benefits far exceed the disadvantages — particularly in regard to the long-term benefits and quality of life regained.
Is the Investment Worth It?
Although this can be expensive at first, they’re an investment in your health, looks, and comfort. In the long run, the cost of denture adjustments, adhesives, replacements, and related health concerns (such as bone loss or infection) can add up — making implants the wiser, more long-lasting option.
Several clinics also have financing options or phased treatment programs to make implants more affordable.
Conclusion
The benefits of dental implants go far beyond aesthetics. Whether it’s a single tooth or your full mouth, implants can transform your life restoring how you eat, speak, and smile.
Still wondering if they’re right for you? Talk to your dentist today about the pros and cons of dental implants and how you could look and feel before and after implants.
Ready to love your smile again?
Call Lincolnwood Family Dental today to schedule your consultation and learn how dental implants can change your confidence, comfort, and quality of life — for the better!







